Центр: м.Золоті Ворота,
вул. Олеся Гончара 45А
Лівий Берег:
пр-т Червоної Калини 11а/2

Працюємо без вихідних
Тел. +38 063 414-2255
+38 050 414-2255
Завжди є світло!

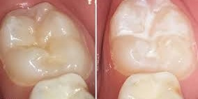
Что такое фиссуры?
Фисуры – это естественные углубления, ямки и борозды на поверхности моляров и премоляров (жевательных зубов), которые могут накапливать остатки пищи и создавать питательную среду для развития кариеса.
Герметизация фиссур – это стоматологическая процедура, предусматривающая заполнение естественных углублений на жевательной поверхности зубов, известных как фиссура, специальным герметиком для предотвращения кариеса. Она является эффективным методом профилактики кариеса, особенно у детей, и производится после прорезывания постоянных зубов.
Ультразвукова чистка зубів, також відома як ультразвуковий скейлінг, - це стоматологічна процедура, яка використовує ультразвукові хвилі для видалення зубного нальоту та зубного каменю з зубів. Це ефективний та безпечний метод професійної гігієни ротової порожнини, що допомагає запобігти захворюванням ясен та карієсу.
Як це працює:
Стоматологічний скалер генерує ультразвукові хвилі, які руйнують зубний камінь та наліт.
Вода, що подається на наконечник скалера, охолоджує область обробки та вимиває відкладення.
Ультразвукові хвилі також мають бактерицидну дію, допомагаючи зменшити кількість бактерій у ротовій порожнині.

Навіщо проводиться герметизація фісур?
Захист від карієсу:
Герметизація створює бар'єр, який перешкоджає проникненню бактерій та залишків їжі в глибокі фісури, запобігаючи розвитку карієсу.
Профілактика:
Процедура допомагає уникнути каріозних порожнин, особливо у дітей, де зуби ще недостатньо міцні.
Зміцнення емалі:
Деякі герметики містять фтор, який додатково зміцнює емаль зуба.
Як проводиться процедура?
Зазвичай герметизація фісур є безболісною процедурою. Вона складається з таких етапів:
1. Очищення зубів:
Жувальна поверхня зубів очищується від нальоту та залишків їжі.
2. Ізоляція зуба:
Зуб ізолюється від слини, щоб герметик добре прилип.
3. Обробка:
Фісури обробляються спеціальним розчином, який сприяє кращому з'єднанню герметика з емаллю.
4. Нанесення герметика:
На фісури наноситься рідкий герметик, який заповнює всі заглиблення.
5. Полімеризація:
Герметик твердне під впливом спеціальної лампи.
Коли проводиться герметизація фісур?
Герметизація фісур найефективніша в перші місяці після прорізування постійних зубів. Рекомендується проводити її для дітей у віці 6-12 років, коли прорізуються перші та другі моляри та премоляри. Проте, процедура може бути корисною і для дорослих із підвищеним ризиком карієсу.



Важливо:
Герметизація фісур не є заміною регулярної гігієни ротової порожнини та профілактичних оглядів у стоматолога.
Ефективність герметизації залежить від індивідуальних особливостей пацієнта та якості догляду за зубами.
.