Центр: м.Золоті Ворота,
вул. Олеся Гончара 45А
Лівий Берег:
пр-т Червоної Калини 11а/2

Працюємо без вихідних
Тел. +38 063 414-2255
+38 050 414-2255
Завжди є світло!

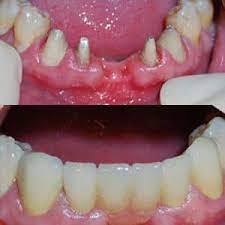
Мостом називають незнімний зубний протез, який фіксують на два сусідніх з зруйнованим зуба або ж на імплантах. Конструкція виглядає як кілька об'єднаних штучних зубів. Це один з найбільш популярних методів відновлення цілісності зубного ряду.
Встановлення зубного мосту передбачає кілька етапів: консультацію та діагностику у стоматолога, обробку опорних зубів (обточування), зняття зліпків, виготовлення мосту в лабораторії, примірку та фіксацію готового моста на спеціальний цемент. Процес триває кілька візитів, а для стабільності конструкції використовують опорні зуби, які покривають коронками, або імпланти.
Коли потрібен зубний міст
За відсутності одного чи кількох зубів поспіль.
Для відновлення зубного ряду та жувальної функції.
Як спосіб реабілітації ротової порожнини.
Переваги зубних мостів
Естетика:
мости виглядають природно та повертають усмішці гарний вигляд.
Функціональність:
відновлюють можливість повноцінно жувати.
Терміни:
установка мосту займає менше часу, порівняно з імплантацією.
Ціна:
загалом, це бюджетніший варіант, ніж установка імплантів.

Варіанти встановлення зубних мостів
На власні опорні зуби:
Якщо у вас є два здорових зуби поруч з відсутнім, вони обробляються і стають опорою для мосту.
На імпланти:
У випадках втрати кількох зубів або за неможливості використання власних зубів, міст може встановлюватися на імпланти, вживляються в щелепу.
Етапи встановлення зубного мосту
1. Консультація та діагностика:
Стоматолог проводить огляд ротової порожнини, робить необхідні знімки та визначає, чи є зубний міст доцільним у вашому випадку.
2. Лікування та підготовка опорних зубів:
Якщо опорні зуби потребують лікування (наприклад, карієс або захворювання ясен), їх виліковують. Потім їх обточують, щоб на них можна було надіти коронки, які будуть тримати міст.
3. Зняття зліпків:
Після підготовки опорних зубів лікар робить зліпки, за якими в зуботехнічній лабораторії виготовляється мостоподібний протез. Поки триває виготовлення, на обточені зуби можуть встановити тимчасові коронки.
4. Примірка та встановлення:
Через кілька днів, коли протез готовий, його приміряють, перевіряючи посадку, зручність та відповідність кольору до натуральних зубів.
5. Фіксація:
Якщо все добре, зубний міст фіксують на опорні зуби або імпланти за допомогою спеціального стоматологічного цементу.


У більшості випадків зубні імпланти є кращим варіантом, ніж мостоподібні протези. Імплантація забезпечує більш природний вигляд, кращу функціональність та довготривалість, а також не потребує обробки сусідніх зубів. Однак, у деяких випадках, коли імплантація неможлива або небажана, мостоподібні протези можуть бути прийнятним рішенням.
.